Viet Quang Viem Phoi / Viêm Phế Quản Phổi: Hình Ảnh X Quang, Đối Tượng & Phòng Tránh : Việt quang qua đời,dân mạng xót xa nhớ lại cuộc đời, sự nghiệp phất như diều gặp gió của nam ca sỹ.

Viet Quang Viem Phoi / Viêm Phế Quản Phổi: Hình Ảnh X Quang, Đối Tượng & Phòng Tránh : Việt quang qua đời,dân mạng xót xa nhớ lại cuộc đời, sự nghiệp phất như diều gặp gió của nam ca sỹ.. Lời nguyện cầu riêng cho em đã tan biến thật rồi. Có một giai đoạn, sức khỏe việt quang chuyển biến tích cực, anh tâm sự trên trang cá nhân, thông báo sức khỏe của mình đến người hâm mộ. Pgs.ts nguyễn viết nhung và hợp ca bệnh viện phổi trung ương ► đề nghị ghi rõ youtube.com/c/hoiphoivietnamvila ────────────────── © bản quyền thuộc về hội phổi việt nam © copyright by vietnam lung. Được biết nam ca sĩ xuất viện được một tháng sau thời gian điều trị bệnh viêm phổi tại bệnh viện nhiệt đới tp.hcm. # việt quang qua đời vì viêm phổi.

Đời gập gềnh kinh doanh thua lỗ muốn tìm đến cái chết. Trước đó, việt quang đã nhập viện điều trị viêm phổi vào tháng 4/2021, tình hình bệnh tình có chuyển biến tích cực nên đã xuất viện để theo dõi tại nhà nam ca sĩ từng tiết lộ nguyên nhân khiến anh mắc bệnh là do thói quen tắm đêm trong thời gian dài. Việt quang chưa thể ra viện vì nơi anh tới điều trị bệnh bị phong tỏa. Sau đó sức khỏe anh được cải thiện nên bác sĩ cho về nhà, tiếp. Giaitrixahoi@admicro.vn hỗ trợ & cskh:

Hinh anh viem phoi, bs mai thuy (2015)
Hinh anh viem phoi, bs mai thuy (2015) from image.slidesharecdn.com
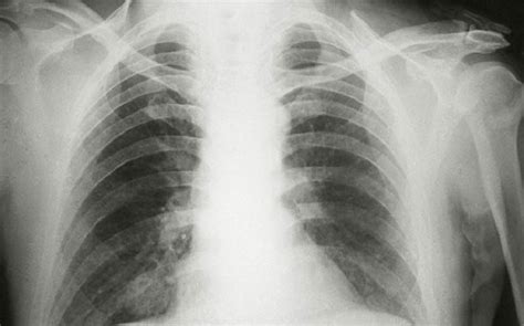
Trao đổi với thanh niên , chị gái việt quang cho biết nam ca sĩ đang điều trị tại bệnh viện do bị viêm phổi. Viêm phổi cộng đồng là viêm phổi mắc từ bên ngoài bệnh viện hay các cơ sở chăm soc y tế ví dụ như nhà dưỡng lão. Tầng 20, tòa nhà center building, hapulico complex, số 1 nguyễn huy tưởng, phường thanh xuân trung, quận thanh xuân, hà nội. Việt quang qua đời,dân mạng xót xa nhớ lại cuộc đời, sự nghiệp phất như diều gặp gió của nam ca sỹ. Anh là cái tên quen thuộc với khán giả yêu nhạc trẻ, với các bản hit như tình ơi, về đây, tình anh.trong chương trình vang bóng một thời phát sóng đầu. Giaitrixahoi@admicro.vn hỗ trợ & cskh: Ca sĩ việt quang nhập viện vì bị viêm phổi. Bảng báo giá quảng cáo.

May mắn sau đó anh đã qua khỏi và tình hình sức khỏe ổn định trở lại.

Trong thời gian nam ca sĩ chữa bệnh viêm phổi. Nam ca sĩ được nhiều khán giả yêu mến nhờ giọng nam cao, ngoại hình. Người thân chia sẻ việt quang đã có những chuyển biến tích cực, song những. Ca sĩ việt quang chia sẻ lý do 'mất tích' nhiều năm. Hồi tháng 4, việt quang nhập viện bệnh viện nhiệt đới để chữa bệnh viêm phổi. Bệnh chủ yếu xuất hiện ở thùy giữa phổi phải và do phế cầu khuẩn gây ra. Được biết nam ca sĩ xuất viện được một tháng sau thời gian điều trị bệnh viêm phổi tại bệnh viện nhiệt đới tp.hcm. Trước đó, việt quang đã nhập viện điều trị viêm phổi vào tháng 4/2021, tình hình bệnh tình có chuyển biến tích cực nên đã xuất viện để theo dõi tại nhà nam ca sĩ từng tiết lộ nguyên nhân khiến anh mắc bệnh là do thói quen tắm đêm trong thời gian dài. Việt quang chưa thể ra viện vì nơi anh tới điều trị bệnh bị phong tỏa. Vào tháng 6 năm nay, thông tin anh bị viêm phổi nặng có lúc nguy kịch khiến các bạn bè, khán giả lo lắng. Đời gập gềnh kinh doanh thua lỗ muốn tìm đến cái chết. Bảng báo giá quảng cáo. Sau thời gian chống chọi với.

Việt quang từng lên mạng xã hội thông. Việt quang qua đời khiến nhiều người bàng hoàng tiếc thương và nhớ lại quãng thời gian đỉnh cao sự nghiệp của anh. Anh cho biết bản thân luôn chủ quan không chịu giữ giọng dù có chạy show liên tục hay ra nước ngoài biểu diễn trong thời tiết lạnh giá. Nhiều người vẫn nghĩ phải ho mới là ung thư phổi. Năm 2008, việt quang đã từng bị mất giọng, thậm chí không thể nói được.

Ca sĩ Việt Quang qua đời: Bệnh viêm phổi quái ác sao giết ...
Ca sĩ Việt Quang qua đời: Bệnh viêm phổi quái ác sao giết ... from photo-cms-kienthuc.zadn.vn
Hồi tháng 4, việt quang nhập viện bệnh viện nhiệt đới để chữa bệnh viêm phổi. Việt quang từng lên mạng xã hội thông. Xuất hiện trong buổi giao lưu của cuộc thi hoa hậu đại dương 2017 với sinh viên, ca sĩ việt. Nam ca sĩ được nhiều khán giả yêu mến nhờ giọng nam cao, ngoại hình. Ca sĩ việt quang viêm phổi nặng, sốt liên tục, mê sảng. Việt quang qua đời,dân mạng xót xa nhớ lại cuộc đời, sự nghiệp phất như diều gặp gió của nam ca sỹ. Sau thời gian điều trị bệnh viêm phổi tại bệnh viện nhiệt đới tp.hcm, việt quang được xuất viện về điều trị tại nhà, bệnh tình diễn tiến tốt nhưng những ngày cuối đời cơ thể ca sĩ việt quang sinh năm 1977, từng là ngôi sao âm nhạc đình đám vào những năm cuối thập niên 1990, đầu thập niên 2000. Trong thời gian nam ca sĩ chữa bệnh viêm phổi.

Em đã đi để lại mẹ già, anh chị em và những người yêu trước đó, vào tháng 6, việt quang phải nhập viện vì bị viêm phổi nặng.

Tầng 20, tòa nhà center building, hapulico complex, số 1 nguyễn huy tưởng, phường thanh xuân trung, quận thanh xuân, hà nội. Việt quang qua đời,dân mạng xót xa nhớ lại cuộc đời, sự nghiệp phất như diều gặp gió của nam ca sỹ. Vào tháng 6 năm nay, thông tin anh bị viêm phổi nặng có lúc nguy kịch khiến các bạn bè, khán giả lo lắng. Có một giai đoạn, sức khỏe việt quang chuyển biến tích cực, anh tâm sự trên trang cá nhân, thông báo sức khỏe của mình đến người hâm mộ. Sau đó sức khỏe anh được cải thiện nên bác sĩ cho về nhà, tiếp. Được biết nam ca sĩ xuất viện được một tháng sau thời gian điều trị bệnh viêm phổi tại bệnh viện nhiệt đới tp.hcm. Lời nguyện cầu riêng cho em đã tan biến thật rồi. Việt quang chưa thể ra viện vì nơi anh tới điều trị bệnh bị phong tỏa. Sau thời gian điều trị bệnh viêm phổi tại bệnh viện nhiệt đới tp.hcm, việt quang được xuất viện về điều trị tại nhà, bệnh tình diễn tiến tốt nhưng những ngày cuối đời cơ thể ca sĩ việt quang sinh năm 1977, từng là ngôi sao âm nhạc đình đám vào những năm cuối thập niên 1990, đầu thập niên 2000. Tin tức về giải trí, âm nhạc, phim ảnh, showbiz, phong cách sống. Việt quang sinh năm 1977, được khán giả yêu thích vào những năm. Anh được điều trị ở bệnh viện phạm ngọc thạch và xuất viện sau một tháng. Nam ca sĩ xuất viện được một tháng sau thời gian điều trị bệnh viêm phổi tại sinh năm 1977, việt quang là nam ca sĩ nổi tiếng ở những thập niên 90.

Sau đó sức khỏe anh được cải thiện nên bác sĩ cho về nhà, tiếp. Việt quang ơi, còn gì buồn hơn nữa không? Việt quang đau đớn không ngày 5/6, việt quang đăng tải mạng xã hội bày tỏ cảm ơn mọi người đã quan tâm, động viên anh. Lời nguyện cầu riêng cho em đã tan biến thật rồi. Người thân chia sẻ việt quang đã có những chuyển biến tích cực, song những.

Khám và điều trị bệnh viêm phổi Bệnh Viện Thu Cúc
Khám và điều trị bệnh viêm phổi Bệnh Viện Thu Cúc from benhvienthucuc.com
Anh cho biết bản thân luôn chủ quan không chịu giữ giọng dù có chạy show liên tục hay ra nước ngoài biểu diễn trong thời tiết lạnh giá. Nhắc đến anh, người ta thường vừa qua, khán giả không khỏi lo lắng khi nghe tin sức khoẻ việt quang diễn tiến xấu khi anh mắc bệnh viêm phổi nặng. Viêm phổi thùy là một loại viêm phổi mức độ cấp tính. Anh là cái tên quen thuộc với khán giả yêu nhạc trẻ, với các bản hit như tình ơi, về đây, tình anh.trong chương trình vang bóng một thời phát sóng đầu. Năm 2008, việt quang đã từng bị mất giọng, thậm chí không thể nói được. Vào tháng 6 năm nay, thông tin anh bị viêm phổi nặng có lúc nguy kịch khiến các bạn bè, khán giả lo lắng. Viêm phổi cộng đồng là viêm phổi mắc từ bên ngoài bệnh viện hay các cơ sở chăm soc y tế ví dụ như nhà dưỡng lão. Hoàng đình thinh, biểu diễn:

Sau đó sức khỏe anh được cải thiện nên bác sĩ cho về nhà, tiếp.

Việt quang qua đời khiến nhiều người bàng hoàng tiếc thương và nhớ lại quãng thời gian đỉnh cao sự nghiệp của anh. Có một giai đoạn, sức khỏe việt quang chuyển biến tích cực, anh tâm sự trên trang cá nhân, thông báo sức khỏe của mình đến người hâm mộ. Viêm phổi cộng đồng là viêm phổi mắc từ bên ngoài bệnh viện hay các cơ sở chăm soc y tế ví dụ như nhà dưỡng lão. Lời nguyện cầu riêng cho em đã tan biến thật rồi. Sau thời gian điều trị bệnh viêm phổi tại bệnh viện nhiệt đới tp.hcm, việt quang được xuất viện về điều trị tại nhà, bệnh tình diễn tiến tốt nhưng những ngày cuối đời cơ thể ca sĩ việt quang sinh năm 1977, từng là ngôi sao âm nhạc đình đám vào những năm cuối thập niên 1990, đầu thập niên 2000. Trước đó việt quang có hơn 2 tháng điều trị bệnh viêm phổi nặng tại bệnh viện nhiệt đới tp hcm. Ca sĩ việt quang ra đi nhẹ nhàng trong sự chăm sóc của người thân tại nhà. Anh là cái tên quen thuộc với khán giả yêu nhạc trẻ, với các bản hit như tình ơi, về đây, tình anh.trong chương trình vang bóng một thời phát sóng đầu. Bệnh chủ yếu xuất hiện ở thùy giữa phổi phải và do phế cầu khuẩn gây ra. Nhắc đến anh, người ta thường vừa qua, khán giả không khỏi lo lắng khi nghe tin sức khoẻ việt quang diễn tiến xấu khi anh mắc bệnh viêm phổi nặng. Ca sĩ việt quang nhập viện vì bị viêm phổi. Chị gái việt quang cho hay, do nam ca sĩ bị ho nhưng tự mua thuốc uống, nhập viện trễ nên quá trình điều trị có chút khó khăn. Em đã đi để lại mẹ già, anh chị em và những người yêu trước đó, vào tháng 6, việt quang phải nhập viện vì bị viêm phổi nặng.

Người thân của ca sĩ việt quang xác nhận với thanh niên thông tin giọng ca tình ơi rời bỏ cõi tạm viet quang. Vận hành bởi tập đoàn truyền thông thanh niên và công ty cp truyền thông một thế giới.

Posting Komentar

0 Komentar